概要・特色

整形外科は7名の常勤医で診療を行っています。整形外科の対象となる疾患は、外傷(骨折・脱臼,腱断裂など)、変形性関節症、脊椎疾患(椎間板ヘルニア,脊柱管狭窄症など)、炎症性疾患(関節リウマチ、腱鞘炎、肩関節周囲炎など)や絞扼性末梢神経障害(手根管症候群,肘部管症候群など)をはじめ、多岐にわたります。
整形外科とはいっても、多くはすぐに手術ではなく保存的治療の対象となります。変性疾患や炎症性疾患をはじめ、骨折などの外傷でも保存的に治療が可能な場合も多くあります。しかし中には手遅れにならないうちに手術をした方が良い場合もありますので、適切な治療法をわかりやすく説明し、安全な手術を提供できるように心がけています。
当科で行っている主な手術は、骨折全般、変形性膝関節症に対する人工膝関節置換術(全置換、単顆置換)や高位脛骨骨切り術、膝半月板損傷に対する関節鏡手術、変形性股関節症に対する人工股関節置換術、神経・腱・血管に対する微小外科を含む手外科手術、肩腱板断裂に対する修復術、変形性肩関節症に対するリバース型人工肩関節置換術などです。
なお、人工膝関節置換術においては、症例に応じてナビゲーションの使用やオーダーメイド人工膝関節(PSI=Patient Specific Instrument)を用いた手術を行っております。また、人工股関節置換術においては、筋肉や腱の損傷を最小限にする低侵襲アプローチによる手術を行っております。
整形外科疾患に関するご質問・ご相談などございましたら、整形外科外来までお気軽にお問い合わせください。

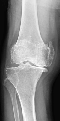
人工膝全置換術術前

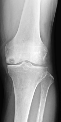
人工膝全置換術術後

人工膝単顆置換術術前

人工膝単顆置換術術後

高位脛骨骨切り術術前

高位脛骨骨切り術術後

変形性肩関節症

リバース型人工肩関節置換術術後
外来診療日程(午前受付:8:00~11:00)
| 月 | 火 | 水 | 木 | 金 | |
|---|---|---|---|---|---|
| 午前 |
宮﨑 |
中西 沼田 相馬 ー |
中西 棚平 三浦 ー |
宮﨑 棚平 相馬 浦上 |
宮﨑 沼田 三浦 ー |
| 午後 | - | ー | - | ー | ー |
※予約の電話は14:00〜17:00の間にお願いします。
手術実績
| 年度 | H29 | H30 | R1 | R2 | R3 | R4 |
|---|---|---|---|---|---|---|
| 手術件数(手術室使用) | 708件 | 771件 | 813件 | 762件 | 726件 | 710件 |
| 人工関節置換術 | 46 | 80 | 83 | 61 | 64 | 79 |
| 大腿骨近位部骨折 | 71 | 85 | 89 | 94 | 110 | 86 |
| 肩腱板修復術 | 7 | 6 | 2 | 10 | 6 | 2 |
| 肘部管症候群 | 9 | 12 | 9 | 13 | 15 | 17 |
| 手根管症候群 | 80 | 87 | 100 | 77 | 65 | 85 |
| ばね指 | 132 | 137 | 143 | 154 | 121 | 122 |
担当医紹介
診療部長
| 氏名 | 宮﨑 信(みやざき まこと) |
|---|---|
| 専門医・認定医等 | 日本専門医機構整形外科専門医 |
| 所属学会 | 日本整形外科学会、日本人工関節学会、西日本整形・災害外科学会 |
部長(兼医療安全対策室長、外来化学療法センター副センター長)
| 氏名 | 棚平 健(たなひら けん) |
|---|---|
| 専門医・認定医等 | 日本専門医機構整形外科専門医、日本整形外科学会認定リウマチ医 |
| 所属学会 | 日本整形外科学会、日本人工関節学会、日本骨折治療学会、日本股関節学会、西日本整形・災害外科学会 |
主任医長(兼リハビリセンター長)
| 氏名 | 沼田 亨祐(ぬまた こうすけ) |
|---|---|
| 専門医・認定医等 | 日本専門医機構整形外科専門医 |
| 所属学会 | 日本整形外科学会 |
主任医長
| 氏名 |
浦上 勝(うらかみ まさる) |
|---|---|
| 専門医・認定医等 | 日本専門医機構整形外科専門医、日本整形外科学会認定リウマチ医 |
| 所属学会 | 日本整形外科学会、西日本整形・災害外科学会 |
医長
| 氏名 | 中西 浩一朗(なかにし こういちろう) |
|---|---|
| 専門医・認定医等 | 日本専門医機構整形外科専門医 |
| 所属学会 | 日本整形外科学会、西日本整形・災害外科学会 |
副医長
| 氏名 | 相馬 史朗(そうま ふみあき) |
|---|---|
| 専門医・認定医等 | 日本専門医機構整形外科専門医 |
| 所属学会 | 日本整形外科学会 |
副医長
| 氏名 | 三浦 渓(みうら けい) |
|---|---|
| 専門医・認定医等 | 日本専門医機構整形外科専門医 |
| 所属学会 | 日本整形外科学会 |

















