超音波検査室の紹介

超音波検査室長の消化器科医師をはじめ、数名の臨床検査技師にて業務を行っています。
概要
超音波検査室では超音波診断装置を用いて検査を行います。超音波とは人の耳では聴くことができない高い周波数の音波のことで、この超音波の出る機械を身体にあてて検査します。非侵襲的で体への影響が極めて低く、乳児、妊婦、高齢の患者さんまで安心して検査を受けていただくことができます。超音波検査は検査依頼に応じて以下のように様々な臓器を対象とし観察しています。
検査項目
| 検査項目 | 対象臓器 |
|---|---|
| 腹部 | 肝臓、胆嚢、膵臓、脾臓、腎臓、膀胱、前立腺、子宮・卵巣、消化管など |
| 乳腺 | 乳腺 |
| 甲状腺 | 甲状腺 |
| その他体表 | 皮下腫瘤などの表在病変、表在リンパ節(頸部、腋窩、鼠径部など)、耳下腺、顎下腺 |
| 血管 | 頸動脈、下肢動脈、下肢静脈、腎動脈、透析患者さんのシャント血管など |
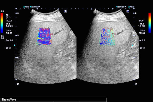
腹部超音波検査では上記に記載の臓器に病変がないかを調べる以外にも、肝臓の硬さを計測して数値化する肝エラストグラフィという検査や、肝臓の腫瘤に対して造影剤を用い、腫瘤が悪性腫瘍(肝細胞癌や転移性肝癌など)かどうかを調べる検査も行っています。また、超音波減衰法を用いて肝臓の脂肪量を数値化し、脂肪肝の程度を定量的に評価することができる装置を導入しています。
乳腺・甲状腺、体表超音波検査では18~24MHzの高周波プローブを用いることで、詳細な検査画像を得ることができます。また、エラストグラフィは、乳腺や甲状腺などの腫瘤の硬さを評価することができ、良悪性判断の一助となります。見つかった腫瘤に対し精密検査(病理学的検査)を行う為の、エコーガイド下生検(超音波画像で確認しながら身体に針を刺し、腫瘤まで到達させて腫瘤の細胞を直接採取します)も超音波検査室にて行われる場合があります。
肝エラストグラフィ
造影超音波検査
乳腺エラストグラフィ
当院の超音波検査体制について
当検査室の超音波診断装置は、定期的に高性能装置を導入・更新しており、高い診断能を得ています。また、超音波検査は主観的な検査であるため、検査者の技量に左右されるところがありますが、当検査室には複数名の超音波検査士資格取得者がおり、専門的な知識・技術を磨いています。
超音波検査のプロである医師・技師が高性能装置を駆使することで、より質の高い医療を提供できるよう努めています。

















